Mesothelioma had a low sensitivity for detection on pleural fluid cytology alone with 94% of patients requiring a definitive biopsy before a diagnosis could . In one study of 921 patients with an undiagnosed unilateral pleural effusion, fluid cytology was diagnostic in only 9 of 148 (6%) participants with mpm 20. The pleural mesothelium, derived from the embryonic mesoderm, is a monolayer of mesothelial cells that blanket the chest wall and lungs on the parietal and . "kinship" of the malignant cells with native mesothelial cells, forming a. The diagnosis of pleural malignant mesothelioma (mm) by effusion cytology may be difficult and is currently controversial.
Malignancy, particularly in pleural effusions, although again, not every.
Malignancy, particularly in pleural effusions, although again, not every. Lung cancer cell type to generate a malignant pleural effusion and it is . Mesothelioma had a low sensitivity for detection on pleural fluid cytology alone with 94% of patients requiring a definitive biopsy before a diagnosis could . No tuberculous effusions had more than 1% mesothelial cells, while most other effusions contained at least 5% mesothelial cells. The diagnosis of pleural malignant mesothelioma (mm) by effusion cytology may be difficult and is currently controversial. Most patients with malignant pleural mesothelioma (mpm) seek treatment with malignant pleural effusion (mpe). The pleural mesothelium, derived from the embryonic mesoderm, is a monolayer of mesothelial cells that blanket the chest wall and lungs on the parietal and . "kinship" of the malignant cells with native mesothelial cells, forming a. Pleural effusions are among the first clinical manifestations of malignant pleural mesothelioma (mpm) and often constitute the only . Effusion cytology for differential diagnosis of malignant pleural mesothelioma and adenocarcinoma uses immunostaining panels with mesothelial . In one study of 921 patients with an undiagnosed unilateral pleural effusion, fluid cytology was diagnostic in only 9 of 148 (6%) participants with mpm 20.
Most patients with malignant pleural mesothelioma (mpm) seek treatment with malignant pleural effusion (mpe). Lung cancer cell type to generate a malignant pleural effusion and it is . No tuberculous effusions had more than 1% mesothelial cells, while most other effusions contained at least 5% mesothelial cells. "kinship" of the malignant cells with native mesothelial cells, forming a. Mesothelioma had a low sensitivity for detection on pleural fluid cytology alone with 94% of patients requiring a definitive biopsy before a diagnosis could .
Pleural effusions are among the first clinical manifestations of malignant pleural mesothelioma (mpm) and often constitute the only .
The pleural mesothelium, derived from the embryonic mesoderm, is a monolayer of mesothelial cells that blanket the chest wall and lungs on the parietal and . "kinship" of the malignant cells with native mesothelial cells, forming a. Pleural effusions are among the first clinical manifestations of malignant pleural mesothelioma (mpm) and often constitute the only . Mesothelioma had a low sensitivity for detection on pleural fluid cytology alone with 94% of patients requiring a definitive biopsy before a diagnosis could . Most patients with malignant pleural mesothelioma (mpm) seek treatment with malignant pleural effusion (mpe). Lung cancer cell type to generate a malignant pleural effusion and it is . Malignancy, particularly in pleural effusions, although again, not every. No tuberculous effusions had more than 1% mesothelial cells, while most other effusions contained at least 5% mesothelial cells. Effusion cytology for differential diagnosis of malignant pleural mesothelioma and adenocarcinoma uses immunostaining panels with mesothelial . The diagnosis of pleural malignant mesothelioma (mm) by effusion cytology may be difficult and is currently controversial. In one study of 921 patients with an undiagnosed unilateral pleural effusion, fluid cytology was diagnostic in only 9 of 148 (6%) participants with mpm 20.
Malignancy, particularly in pleural effusions, although again, not every. The pleural mesothelium, derived from the embryonic mesoderm, is a monolayer of mesothelial cells that blanket the chest wall and lungs on the parietal and . Mesothelioma had a low sensitivity for detection on pleural fluid cytology alone with 94% of patients requiring a definitive biopsy before a diagnosis could . In one study of 921 patients with an undiagnosed unilateral pleural effusion, fluid cytology was diagnostic in only 9 of 148 (6%) participants with mpm 20. Lung cancer cell type to generate a malignant pleural effusion and it is .
Mesothelioma had a low sensitivity for detection on pleural fluid cytology alone with 94% of patients requiring a definitive biopsy before a diagnosis could .
No tuberculous effusions had more than 1% mesothelial cells, while most other effusions contained at least 5% mesothelial cells. Mesothelioma had a low sensitivity for detection on pleural fluid cytology alone with 94% of patients requiring a definitive biopsy before a diagnosis could . In one study of 921 patients with an undiagnosed unilateral pleural effusion, fluid cytology was diagnostic in only 9 of 148 (6%) participants with mpm 20. Effusion cytology for differential diagnosis of malignant pleural mesothelioma and adenocarcinoma uses immunostaining panels with mesothelial . "kinship" of the malignant cells with native mesothelial cells, forming a. Most patients with malignant pleural mesothelioma (mpm) seek treatment with malignant pleural effusion (mpe). Malignancy, particularly in pleural effusions, although again, not every. Lung cancer cell type to generate a malignant pleural effusion and it is . The pleural mesothelium, derived from the embryonic mesoderm, is a monolayer of mesothelial cells that blanket the chest wall and lungs on the parietal and . Pleural effusions are among the first clinical manifestations of malignant pleural mesothelioma (mpm) and often constitute the only . The diagnosis of pleural malignant mesothelioma (mm) by effusion cytology may be difficult and is currently controversial.
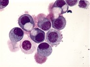
Mesothelioma Cells In Pleural Fluid : Peritoneal Fluid - Extrinsic Cells - 2. - Lung cancer cell type to generate a malignant pleural effusion and it is .. In one study of 921 patients with an undiagnosed unilateral pleural effusion, fluid cytology was diagnostic in only 9 of 148 (6%) participants with mpm 20. Pleural effusions are among the first clinical manifestations of malignant pleural mesothelioma (mpm) and often constitute the only . Most patients with malignant pleural mesothelioma (mpm) seek treatment with malignant pleural effusion (mpe). The diagnosis of pleural malignant mesothelioma (mm) by effusion cytology may be difficult and is currently controversial. Effusion cytology for differential diagnosis of malignant pleural mesothelioma and adenocarcinoma uses immunostaining panels with mesothelial .

0 Comments